产品特征


钢、铸铁大型粗加工, 面铣加工,高速加工条件下新一代CVD铣削系列可实现*佳**效率

● 提升耐崩刃性/ 耐热皲裂性

强力的后处理提升了刀片的耐崩刃性及耐热皲裂性

 提升耐磨性, 高温特性

使用了高韧性母材及高功能氧化铝 CVD 涂层


图片


适用领域


图片



全新产品分析


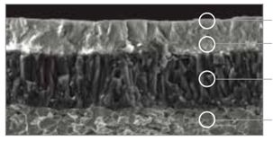
相对原先钢加工铣削材质耐磨性不足的问题我们的全新材质NCM535采用了全新高韧性、热传导性母材搭配高功能性氧化铝涂层大大提升了在高速加工中的耐磨性能.


图片

全新母材解析图


刀片磨损图


图片

◆ 铣削高速加工

    → 延迟磨损


图片


◆ 碳素钢&合金钢的铣削加工

    → 改善耐皲裂性耐崩刃性


加工领域图


图片

图片

Baidu
map